A diagnosis of kidney cancer can be distressing, especially because the kidneys play a vital role in filtering blood, regulating blood pressure, and maintaining fluid balance. Kidney cancer develops when abnormal cells form in the tissues of one or both kidneys, potentially affecting overall body function if not treated in time.
Alongside conventional treatments such as surgery, targeted therapy, and immunotherapy, many patients explore complementary and alternative medicine (CAM) approaches as supportive care to enhance strength, immune response, and overall wellbeing during treatment.
Diagnosed with kidney cancer? Dr. Tarang offers personalised, integrative treatment planning grounded in clinical oncology experience.
When patients ask what kidney cancer is, the explanation begins at the cellular level. Kidney cancer occurs when cells within the kidney tissue undergo genetic mutations that cause them to grow uncontrollably.
Normally, kidney cells divide in an organised and regulated manner. In renal cancer, abnormal cells multiply and may form a tumour within the kidney. Over time, these cells can invade nearby blood vessels, lymph nodes, or other organs if left untreated.
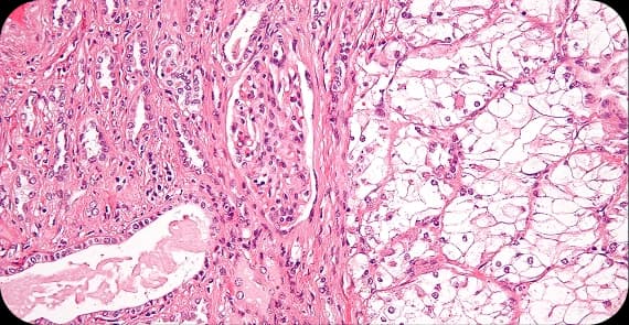
Most kidney cancers begin in the lining of tiny tubes within the kidney, though other forms can arise in different kidney structures.
Kidney cancer is not a single disease. There are different types of kidney cancer, each with its own distinct biological behaviour and treatment considerations.
The most common type in adults, arising from the kidney’s filtering tubules.
Develops in the renal pelvis, where urine collects before moving to the bladder.
A rare type of kidney cancer that primarily affects children.
Less common forms that vary in aggressiveness and response to treatment. Understanding the type of kidney cancer helps guide staging and treatment planning.
Kidney cancer symptoms may not appear in early stages. In many cases, tumours are discovered coincidentally during imaging tests for other conditions.
Common Signs of Kidney Cancer:
Blood in the urine
Persistent lower back pain on one side
A lump or mass in the abdomen
Unexplained weight loss
Fatigue
Fever not related to infection
Swelling in the legs
Because early kidney cancer may not produce clear symptoms, regular health evaluations are important for early detection.
The exact causes of kidney cancer are often unclear. The disease usually develops due to a combination of genetic and environmental influences.
Causes of kidney cancer may include:
DNA mutations in kidney cells
Long-term smoking
Chronic kidney disease
Obesity
High blood pressure
Certain inherited genetic conditions
In many patients, no single direct cause is identified.
Several risk factors increase the likelihood of developing kidney cancer.
Common risk factors include:
Increasing age
Male gender
Smoking
Obesity
High blood pressure
Long-term dialysis
Family history of kidney cancer
Occupational exposure to certain chemicals
Having risk factors does not mean cancer will develop, but awareness supports preventive strategies and early screening where appropriate.
Kidney cancer stages describe the size of the tumour and whether it has spread beyond the kidney.
The tumour is confined to the kidney and smaller in size.
Larger tumour but still limited to the kidney.
Spread to nearby lymph nodes or major blood vessels.
This refers to metastatic kidney cancer, which has spread to distant organs such as the lungs, bones, or liver.
Understanding kidney cancer stages is essential for determining prognosis and treatment options.
Accurate kidney cancer diagnosis involves imaging and laboratory evaluation.
The diagnostic process may include:
Ultrasound examination
CT scan or MRI imaging
Blood and urine tests
Biopsy in selected cases
Molecular and genetic testing where indicated
Early diagnosis improves the chances of successful treatment and long-term disease control.
Kidney cancer treatment depends on tumour stage, size, and overall patient health.
Common treatment options include:
Surgery: Partial or radical nephrectomy to remove the tumour
Targeted therapy: Drugs that block specific cancer growth pathways
Immunotherapy: Stimulates the immune system to attack cancer cells
Radiation therapy: Used selectively in advanced cases
Chemotherapy: Less commonly used but may be indicated in certain subtypes
Support during systemic treatments such as targeted therapy or immunotherapy is important to maintaining strength and immune balance.
Alongside conventional kidney cancer treatment, many patients benefit from structured supportive care. The Cancer Healer Therapy Program integrates complementary and alternative medicine with standard oncology therapies.
This approach may include:
Immune system support during targeted therapy or immunotherapy
Stress reduction and mind-body support
Carefully supervised herbal or traditional medicine components
Personalised therapy planning aligned with conventional treatment
The aim of integrative care is to support the body’s resilience, reduce treatment-related side effects, and enhance quality of life without replacing evidence-based oncology treatment.
Many patients ask whether kidney cancer is curable. The answer depends on stage at diagnosis and tumour biology.
Kidney cancer accounts for a growing percentage of cancer diagnoses worldwide. In India, its incidence has been gradually increasing, partly due to improved detection through imaging technologies.
Early detection of kidney cancer significantly increases survival rates globally.
Early-stage kidney cancer treated surgically can often be cured.
Locally advanced disease may require combined therapies.
Metastatic kidney cancer may not always be curable but can often be managed long-term with modern targeted therapies and immunotherapy.
Timely diagnosis and customised treatment planning are critical for improved outcomes.
Early kidney cancer may not cause noticeable symptoms. Blood in urine and persistent back pain are common warning signs.

Stay in touch with us to get latest news and special offers.