A diagnosis of ovarian cancer can be emotionally and physically overwhelming. The ovaries are part of the female reproductive system and are responsible for producing eggs and hormones. Ovarian cancer develops when abnormal cells grow uncontrollably within one or both ovaries, potentially spreading within the abdomen if not detected early.
Alongside conventional approaches such as ovarian cancer surgery, chemotherapy, targeted therapy, and immunotherapy, many patients explore complementary and alternative medicine (CAM) approaches as supportive care to improve resilience, immune balance, and overall wellbeing during treatment.
Diagnosed with ovarian cancer? Dr. Tarang offers personalised, integrative treatment planning grounded in clinical oncology experience.
When patients ask what ovarian cancer is, understanding the ovarian cancer definition and ovarian cancer meaning is important. Ovarian cancer refers to malignant growth arising from cells within the ovaries.
What happens in ovarian cancer is the transformation of normal ovarian cells into cancerous cells that multiply uncontrollably. These cells may form tumours and, in advanced cases, spread to nearby organs in the pelvis and abdomen.
Because early symptoms are often vague, ovarian cancer is sometimes diagnosed at a later stage.
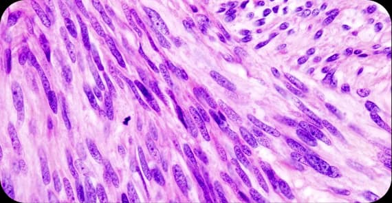
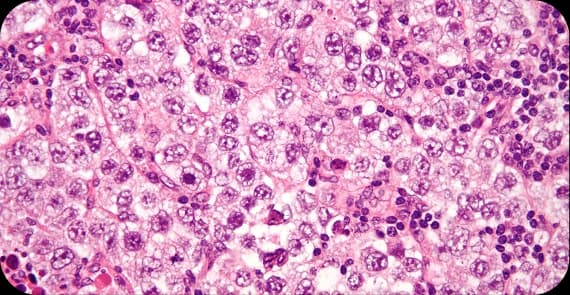
There are different types of ovarian cancer depending on the cell origin.
The most common type of ovarian cancer arises from the surface cells of the ovary.
Develop from egg-producing cells and are more common in younger women.
Arise from hormone-producing cells within the ovary.
Ovarian cancer symptoms are often subtle and may resemble common digestive issues.
Common Ovarian Cancer Signs and Symptoms
Abdominal bloating
Pelvic or abdominal pain
Feeling full quickly
Frequent urination
Unexplained weight changes
Fatigue
Early ovarian cyst cancer symptoms may overlap with benign ovarian cysts, which can delay diagnosis. Recognising ovarian cancer signs and symptoms early increases the chances of timely intervention.
Symptoms of ovarian cancer that persist for several weeks should be evaluated by a healthcare professional.
Many patients ask what causes ovarian cancer. The exact ovarian cancer causes are often multifactorial.
Reasons for ovarian cancer may include:
Genetic mutations such as BRCA1 or BRCA2
Family history of ovarian or breast cancer
Hormonal influences
Increasing age
Long-term ovulation cycles
Understanding why ovarian cancer happens helps identify individuals at higher risk.
Several ovarian cancer risk factors increase the likelihood of developing the disease.
Common risk factors include:
Age over 50
Family history
Inherited genetic mutations
Obesity
Endometriosis
Hormone replacement therapy
While these factors increase risk, not all women with risk factors develop ovarian cancer.
Ovarian cancer stages describe the extent of tumour spread.
Cancer confined to one or both ovaries.
Spread to other pelvic structures.
Spread to the abdominal lining or lymph nodes.
This stage is characterised by advanced disease and distant metastasis.
Ovarian cancer stages significantly influence treatment planning and prognosis.
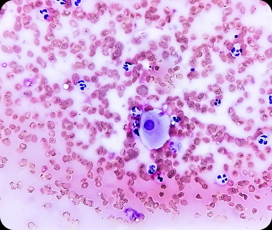
Ovarian cancer diagnosis involves clinical, imaging, and laboratory evaluation.
The diagnostic process may include:
Pelvic examination
Ultrasound imaging
CT or MRI scans
Blood tests such as CA-125
Surgical biopsy
Accurate diagnosis allows for stage-specific, personalised ovarian cancer treatment planning.
Ovarian cancer treatment depends on stage, tumour type, and overall health.
Common ovarian cancer treatments include:
Ovarian cancer surgery: Removes affected ovaries, fallopian tubes, and sometimes surrounding tissues
Chemotherapy: Uses anti-cancer drugs to destroy rapidly dividing cells
Targeted therapy: Focuses on specific genetic or molecular features of cancer cells
Immunotherapy: Stimulates the immune system to recognise and attack cancer cells
Radiation therapy: Uses high-energy beams to target cancer cells in selected cases
Many patients require a combination of surgery and chemotherapy for optimal outcomes.
Complex ovarian cancer cases need tailored care. Dr. Tarang integrates standard and supportive therapies into personalised plans.
Explore Integrative Cancer Treatment Options
Alongside conventional ovarian cancer treatment, integrative supportive care may enhance resilience and overall wellbeing. The Cancer Healer Therapy Program combines complementary and alternative medicine with evidence-based oncology care.
This approach may include:
Immune support during chemotherapy
Hormonal balance support where appropriate
Stress reduction and mind-body practices
Carefully supervised herbal or traditional medicine components
Personalised therapy planning aligned with medical treatment
The aim is to support patients throughout their treatment journey without replacing evidence-based therapy.
Many patients ask if ovarian cancer is curable. The answer depends largely on the stages of diagnosis and tumour biology.
Ovarian cancer is one of the leading gynaecological cancers worldwide. In India, it represents a significant proportion of female cancer cases.
Early-stage ovarian cancer has a higher chance of successful treatment.
Advanced stages often require combined therapy and long-term management.
Ovarian cancer survival rate varies depending on stage, tumour type, and response to treatment.
Early detection remains a key factor in improving outcomes.
Ovarian cancer symptoms may include abdominal bloating, pelvic pain, early fullness, and urinary frequency.

Stay in touch with us to get latest news and special offers.