A diagnosis of tongue cancer can be distressing because the tongue plays an essential role in speaking, chewing, and swallowing. Tongue cancer develops when abnormal cells grow uncontrollably in the tissues of the tongue, potentially affecting daily function and spreading to nearby lymph nodes if not treated promptly.
Alongside conventional approaches such as tongue cancer surgery, radiation therapy, chemotherapy, targeted therapy, and immunotherapy, many patients explore complementary and alternative medicine (CAM) approaches as supportive care to improve resilience, immune balance, and overall
Diagnosed with tongue cancer? Dr. Tarang offers personalised, integrative treatment planning grounded in clinical oncology experience.
When patients seek to understand early-stage tongue cancer, the explanation begins at the cellular level. Tongue cancer occurs when cells lining the tongue develop genetic mutations that cause uncontrolled growth.
The tongue is divided into two main parts: the oral tongue, which is the front two-thirds, and the base of the tongue, which is part of the throat. What happens in tongue cancer is the transformation of normal cells into malignant cells that may invade surrounding tissues or spread to lymph nodes in the neck.
Early detection is especially important for improving treatment outcomes.
There are different types of tongue cancer depending on the cell origin and location.
The most common type, arising from the flat cells lining the tongue surface.
This type affects the front portion of the tongue.
Occurs in the back portion and is often associated with HPV infection.
Include minor salivary gland tumours or melanomas.
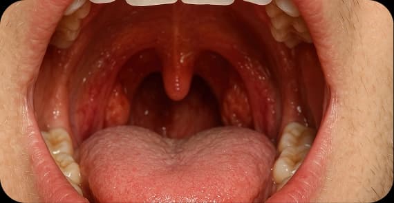
Tongue cancer symptoms can vary depending on tumour size and location.
Common Signs of Tongue Cancer
Persistent ulcer or sore on the tongue
Red or white patches
Pain or burning sensation
Difficulty chewing or swallowing
Lump in the neck
Speech changes
Unexplained bleeding from the tongue
Early-stage tongue cancer symptoms may include small, painless ulcers or patches that do not heal. Identifying early tongue cancer symptoms and seeking timely evaluations can significantly improve outcomes.
Tongue cancer causes are often related to long-term exposure to irritants.
What causes tongue cancer may include:
Tobacco use in any form
Heavy alcohol consumption
Human papillomavirus (HPV) infection
Chronic irritation
Poor oral hygiene
The reasons behind tongue cancer usually involve repeated cellular damage over time.
Several factors increase the likelihood of developing tongue cancer.
Common risk factors include:
Smoking or chewing tobacco
Excessive alcohol use
HPV infection
Male gender
Age over 40
Family history of head and neck cancers
Reducing exposure to these factors supports prevention strategies.
Tongue cancer stages describe tumour size and spread.
A small tumour is confined to the tongue.
Larger tumour but still localised.
Spread to nearby lymph nodes.
Advanced disease with invasion into nearby structures or distant spread.
Tongue cancer stages help guide decisions regarding tongue cancer treatment and prognosis.
Tongue cancer diagnosis involves clinical examination and confirmatory testing.
The diagnostic process may include:
Physical examination of the mouth and neck
Biopsy of suspicious lesions
Imaging studies such as CT, MRI, or PET scans
HPV testing in selected cases
Accurate diagnosis is critical for staging and treatment planning.
Tongue cancer treatment depends on stage, tumour location, and overall health.
Common tongue cancer treatments include:
Surgery: Removes the tumour and, when necessary, affected lymph nodes
Tongue cancer surgery: May involve partial or total removal of the tongue depending on tumour size
Radiation therapy: Uses high-energy beams to destroy cancer cells
Chemotherapy: Uses anti-cancer drugs to eliminate rapidly dividing cells
Targeted therapy: Focuses on specific genetic or molecular features of cancer cells
Immunotherapy: Stimulates the immune system to recognise and attack cancer cells
Many patients receive combined therapy depending on disease stage.
Complex tongue cancer cases need tailored care. Dr. Tarang integrates standard and supportive therapies into personalised plans.
Explore Integrative Cancer Treatment Options
Alongside conventional tongue cancer treatment, integrative supportive care may enhance recovery and overall wellbeing. The Cancer Healer Therapy Program combines complementary and alternative medicine with evidence-based oncology care.
This approach may include:
Immune support during chemotherapy or radiation
Speech and rehabilitation support
Stress reduction and mind-body techniques
Carefully supervised herbal or traditional medicine components
Personalised therapy planning aligned with medical treatment
The aim is to support patients physically and emotionally throughout treatment.
Many patients ask, "Is tongue cancer curable?" The answer depends largely on the stage at diagnosis.
Tongue cancer is part of the broader category of oral cancers. Tobacco and alcohol consumption patterns influence its incidence in India.
Early-stage tongue cancer has a higher chance of successful treatment.
Locally advanced disease may require combined therapy.
Advanced stages may require long-term management strategies.
Early-stage tongue cancer symptoms may include a persistent ulcer, red or white patches, or mild discomfort that does not heal.

Stay in touch with us to get latest news and special offers.