A diagnosis of uterus cancer can be emotionally challenging, particularly because it affects a central part of the female reproductive system. The uterus, also known as the womb, plays a vital role in menstruation and pregnancy. Uterine cancer develops when abnormal cells grow uncontrollably within the lining or muscle of the uterus.
Alongside conventional approaches such as surgery, radiation therapy, chemotherapy, hormone therapy, targeted therapy, and immunotherapy, many patients explore complementary and alternative medicine (CAM) approaches as supportive care to improve resilience, immune balance, and overall wellbeing during treatment.
Diagnosed with uterus cancer? Dr. Tarang offers personalised, integrative treatment planning grounded in clinical oncology experience.
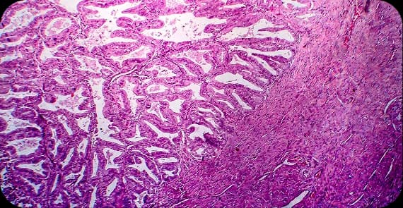
When patients seek to understand early-stage uterus cancer, the explanation begins at the cellular level. Uterine cancer most commonly starts in the inner lining of the uterus, known as the endometrium. This is often referred to as endometrial cancer.
What happens in uterus cancer is the transformation of normal uterine cells into malignant cells that grow uncontrollably. In early-stage uterus cancer, the disease is confined to the uterus. If untreated, it may spread to nearby tissues, lymph nodes, or distant organs.
Early detection plays an important role in improving outcomes.
There are different types of uterus cancer depending on the tissue involved.
The most common type, arising from the lining of the uterus.
A rare type that develops in the muscle or supporting tissues of the uterus.
This category includes mixed histology tumours, which exhibit more aggressive behaviour.
Uterine cancer symptoms often present early, which allows for timely medical attention.
Common Signs and Symptoms of Uterus Cancer in Females
Abnormal vaginal bleeding, especially after menopause
Irregular menstrual bleeding
Pelvic pain
Unusual vaginal discharge
Pain during intercourse
Symptoms of uterus cancer in females frequently involve abnormal bleeding patterns. Early-stage uterus cancer may present only with mild irregular bleeding. Recognising uterus cancer stage symptoms early can significantly improve treatment success.
Many patients ask why uterus cancer happens. The exact reason for uterus cancer is often multifactorial.
Possible reasons for uterus cancer may include:
Hormonal imbalance, particularly excess oestrogen
Obesity
Polycystic ovarian syndrome
Early menstruation or late menopause
Family history of certain genetic conditions
Understanding what causes uterus cancer helps identify individuals who may benefit from closer monitoring.
Several factors increase the likelihood of developing uterus cancer.
Common risk factors include:
Age over 50
Obesity
Diabetes
Hormone replacement therapy without progesterone
Family history of uterine or colorectal cancer
While these factors increase risk, not all individuals with risk factors develop the disease.
Uterus cancer stages describe how far the cancer has spread.
Cancer confined to the uterus.
Spread to the cervix.
Spread to nearby tissues or lymph nodes.
Advanced disease will spread to distant organs.
Uterine cancer stages guide treatment decisions and help determine prognosis.
Uterine cancer diagnosis involves clinical and imaging evaluation.
The diagnostic process may include:
Pelvic examination
Transvaginal ultrasound
Endometrial biopsy
Hysteroscopy
CT or MRI imaging in selected cases
Accurate diagnosis allows for stage-specific and personalised treatment plans.
Uterine cancer treatment depends on stage, tumour type, and overall health.
Common uterus cancer treatments include:
Surgery: Removes the uterus and, when necessary, ovaries and nearby lymph nodes
Radiation therapy: Uses high-energy beams to destroy cancer cells
Chemotherapy: Uses anti-cancer drugs to eliminate rapidly dividing cells
Hormone therapy: Blocks or alters hormones that promote tumour growth
Targeted therapy: Focuses on specific genetic or molecular features of cancer cells
Immunotherapy: Stimulates the immune system to recognise and attack cancer cells
Many patients are diagnosed at an early stage and may respond well to surgery alone.
CTA: Complex uterus cancer cases need tailored care. Dr. Tarang integrates standard and supportive therapies into personalised plans.
Explore Integrative Cancer Treatment Options
Alongside conventional uterus cancer treatment, integrative supportive care may enhance recovery and overall wellbeing. The Cancer Healer Therapy Program combines complementary and alternative medicine with evidence-based oncology care.
This approach may include:
Immune system support during chemotherapy
Stress reduction and mind-body practices
Carefully supervised herbal or traditional medicine components
Personalised therapy planning aligned with medical treatment
The goal is to support patients physically and emotionally throughout treatment without replacing evidence-based therapy.
Many patients ask whether uterus cancer can be cured. The answer depends largely on the stage at diagnosis.
Uterine cancer is one of the most common gynaecological cancers worldwide. In India, its incidence is increasing due to lifestyle and metabolic risk factors.
Early-stage uterus cancer is often highly treatable.
Locally advanced disease may require combined therapies.
Advanced stages may require long-term systemic treatment strategies.
Uterine cancer symptoms often include abnormal vaginal bleeding, pelvic pain, and unusual discharge.

Stay in touch with us to get latest news and special offers.